寡转移直肠癌放射治疗 重燃治愈之光
在医学领域,直肠癌的治疗一直是研究的热点与难点。随着医学技术的不断进步,寡转移直肠癌的治疗方案也日趋完善。放射治疗作为其中的重要手段,为众多患者带来了新生的希望。
今天,我们就来聊聊寡转移直肠癌的放射治疗,让更多的人了解这一技术的魅力与价值。
首先来了解什么是寡转移直肠癌。寡转移,顾名思义是指肿瘤转移的数量较少,通常局限于一个或几个器官内。对于直肠癌患者而言,寡转移意味着肿瘤尚未广泛扩散,仍然存在着根治的可能性。而放射治疗,正是针对这种局部病灶的有效手段。放射治疗是利用放射线破坏肿瘤细胞的DNA结构,从而达到杀灭肿瘤细胞的目的。在寡转移直肠癌的治疗中,放疗能够精准地作用于肿瘤部位,减少对周围正常组织的损伤。
那么,寡转移直肠癌患者是否适合接受放射治疗呢?答案是肯定的。对于寡转移病灶,放疗能够作为有效的局部根治性治疗手段,尤其是某些肿瘤负荷巨大、紧邻重要组织器官的转移灶,以立体定向放疗为代表的放疗技术是一把绝佳的利器。此外,对于部分伴严重症状的终末期转移性直肠癌患者,放疗也可以控制病灶的进展,减轻患者的症状,提高生活质量。
下面,我们就来看一个活生生的例子:
72岁的张大爷在2021年7月出现间断便血,在潞河医院预约了肠镜检查,提示直肠距肛门有一个约4-7cm肿物,活检病理提示直肠腺癌,完善检查发现合并肺内结节,考虑为直肠癌IV期,双肺转移。由于张大爷曾有20多年的高血压、冠心病史,在协和医院就诊治疗期间出现了严重的急性心梗紧急手术治疗,出院后心功能一直难以恢复正常,综合评估难以耐受直肠癌手术,甚至无法耐受单药卡培他滨化疗,因此来到了潞河医院放疗科。放疗科根据张大爷的基础情况及病情,给他制定了原发灶及转移灶的分别放射治疗方案。

肠镜检查
在治疗前,张大爷一直担心自己的身体难以坚持整个治疗周期,但在温和的放射治疗中,张大爷并未出现任何明显的不适,很愉快地配合医生一起完成了整个治疗。治疗结束后,复查治疗结果,结合影像复查对比,张大爷的原发与转移病灶均得到很好的控制,张大爷和家人看到结果后如释重负,非常感激放疗科的医务人员。张大爷感慨地说,没想到像我这样的年纪大又合并严重心脏疾病的患者也能很轻松的完成整个治疗过程,看来放疗真的是一种非常温和又安全的治疗手段。

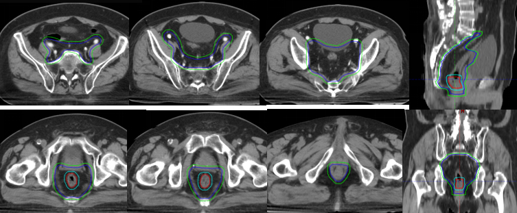
原发灶放疗靶区

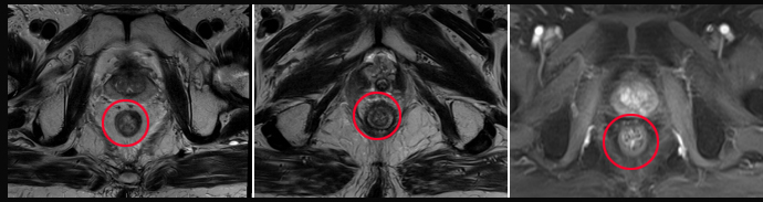
原发灶治疗后
潞河医院放疗科自2019年开诊以来,陆续收治多例结直肠癌治疗初期或治疗过程中出现肺转移、肝转移,甚至脑转移的患者,立体定向放疗(SBRT)、大分割放疗等措施与手术、药物的有机结合,为这些患者再次争取到治愈的机会,使晚期的患者仍然可以争取到高质量的长期生存。
寡转移直肠癌的放射治疗是一种有效且安全的治疗手段。它能够为患者带来根治的希望,提高生活质量。最后,希望广大患者和家属,在面对疾病时要保持积极乐观的心态,相信科学、相信医生。同时,也要关注自己的身体健康,定期进行体检和筛查,以便及早发现和治疗潜在的健康问题。让我们一起携手同行,为战胜疾病而努力!
本文地址:http://www.jiuyinews.cn/kanzixun/jinrikandian/2024-07-05/785313.html
友情提示:文章内容为作者个人观点,不代表本站立场且不构成任何建议,本站拥有对此声明的最终解释权。如果读者发现稿件侵权、失实、错误等问题,可联系我们处理
